診療
時間
月~金8:30~12:30/14:00~19:00
土8:30~12:30/14:00~17:00
第1.第3日曜矯正あり
休診日
日曜・祝日
駐車場
15台完備
TEL:04-7145-3375 WEB予約休診日
日曜・祝日
駐車場
15台完備
診療時間
月~金8:30~12:30/14:00~19:00
土8:30~12:30/14:00~17:00
第1.第3日曜矯正あり

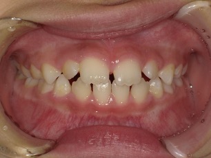
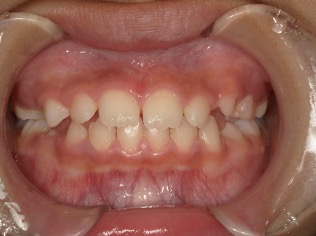
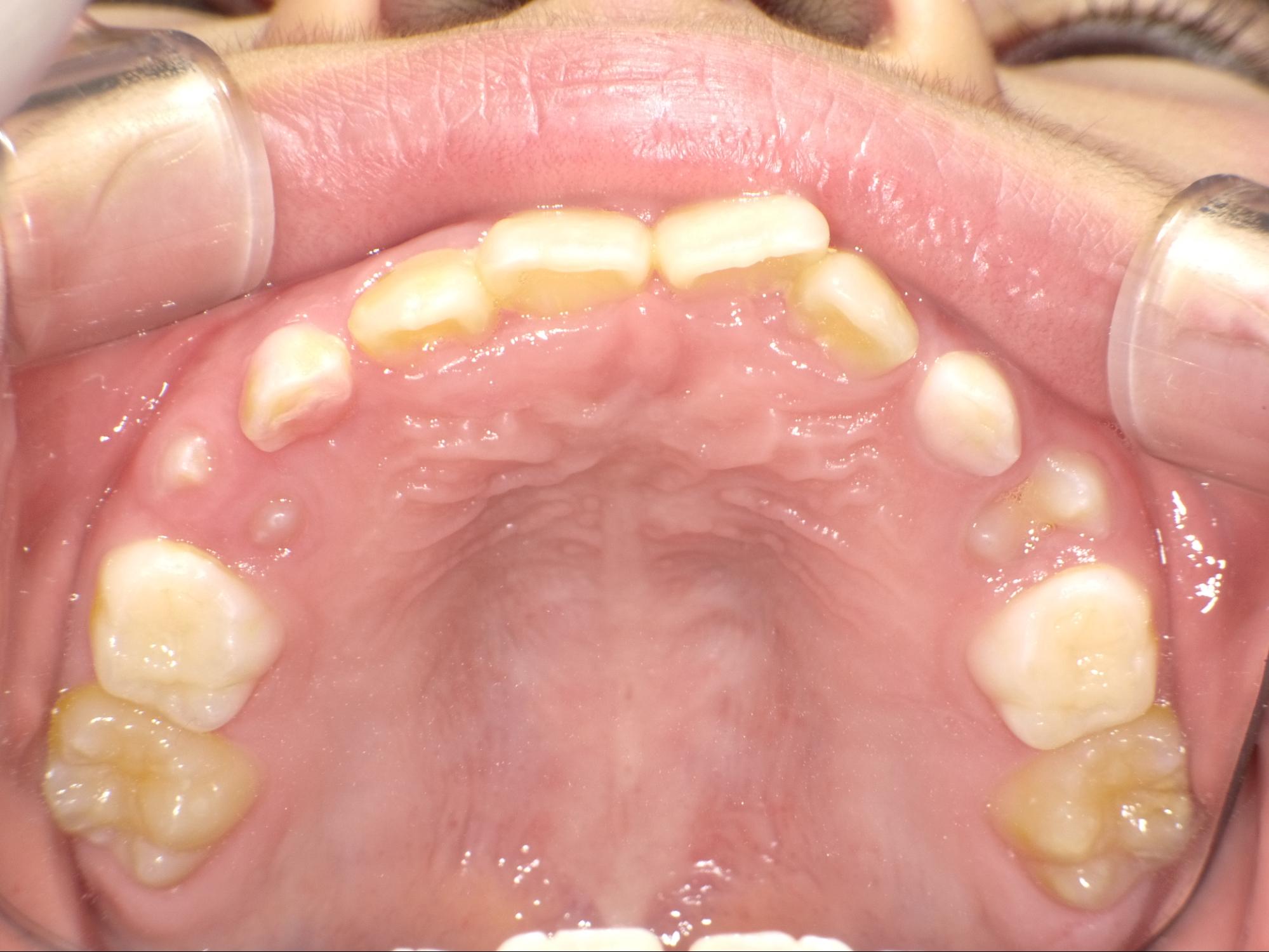
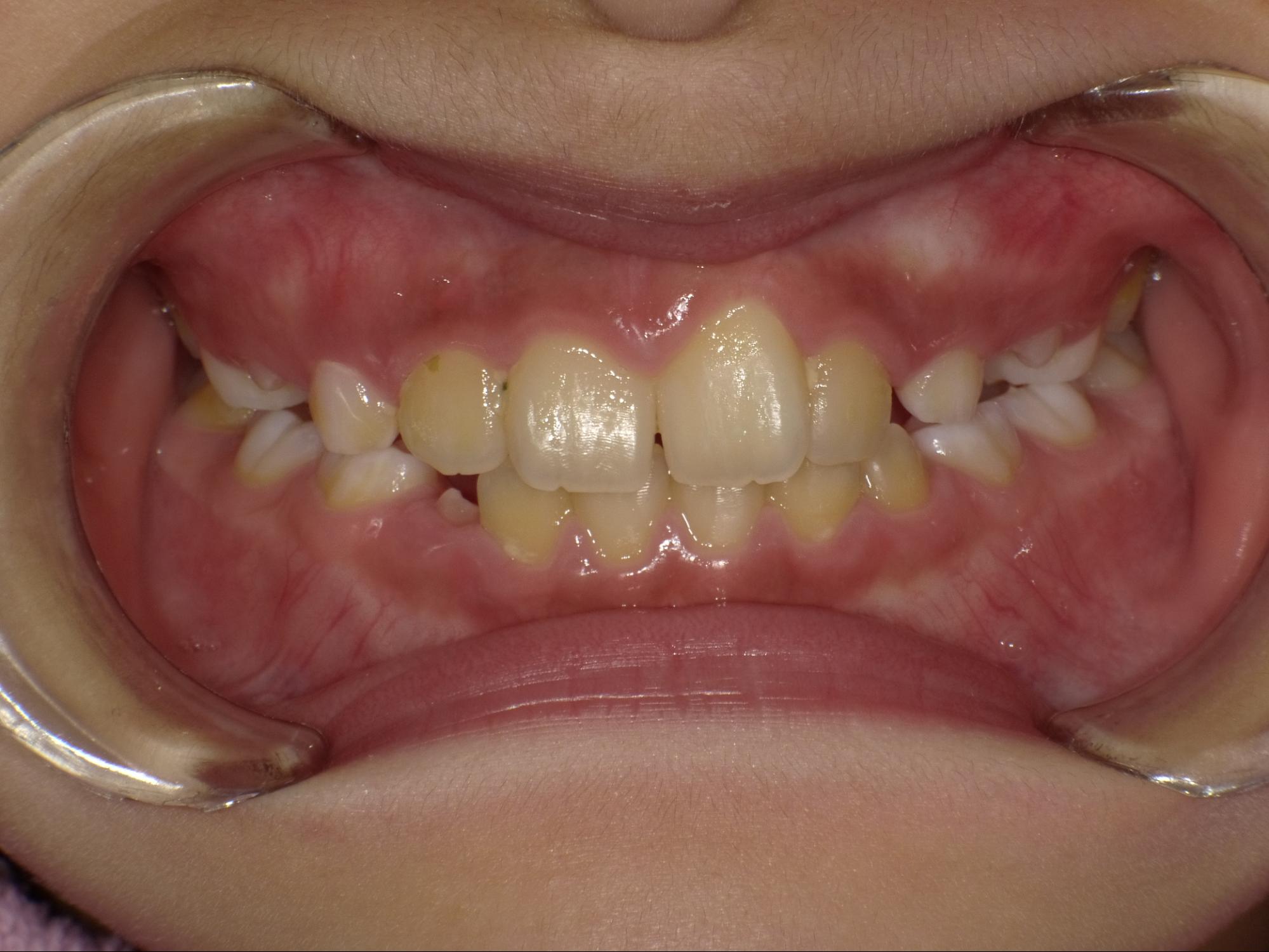
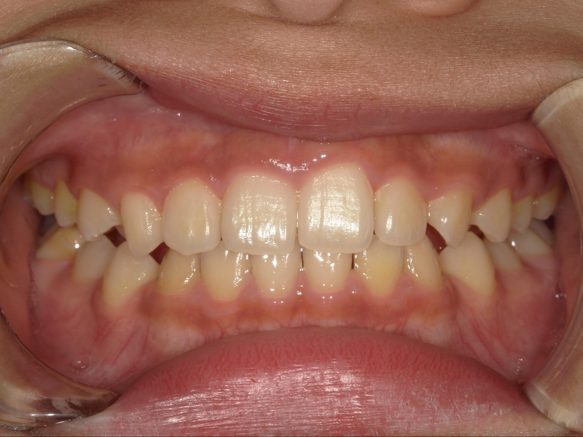
歯がキレイに並ぶために必要な顎のスペースが足りないと歯並びが乱れます。とくに現代のお子さんは、歯が大きめな反面、顎が小さくなる傾向にあるため、歯並びが乱れやすいのです。そこで大切なのは成長過程にあるうちに上下の顎の位置や大きさのバランスを整え、顎の広さを確保することです。そうすれば、顎の健やかな成長を促しながら、成人してから歯並びを整える際にも抜歯をしないで済む可能性が高まります。
お子さんの歯並びが気になる方は、お気軽に千葉県柏市向原町の歯医者「柏 なかよし歯科・口腔外科」にご相談ください。
以下にあてはまる方に、小児矯正をおすすめしています。
小児矯正を行うと、呼吸が改善します。
歯並びが悪いと口呼吸になるため、のどが乾燥しやすく、風邪を引きやすくなりますが、小児矯正を行うことで口呼吸が改善するため、風邪を引きにくくなることが期待できます。
また、呼吸の改善により、発音も良くなる可能性があります。
小児は顎が成長する時期です。小児矯正では顎の発育を利用して、歯並びを整えることができます。上あごと下あごのバランスを調整したり、顎を広げて矯正治療を行うことも可能です。
歯並びを整えるためには、歯が適切な位置に並ぶことのできるスペースを作る必要があります。歯を抜いてスペースを作る矯正治療と異なり、小児矯正では顎の成長を利用できるため、歯を抜かずに矯正治療ができる可能性があります。
治療期間が短いのも小児矯正のメリットです。永久歯が生え揃ってからの一般的な矯正は、小児矯正よりも治療期間が長くなってしまいます。
将来的に歯科矯正をお考えであれば、永久歯が生え揃う前の小児矯正がおすすめです。
親御さまのなかには、お子さまが矯正を嫌がらないか不安に思われるかたもいらっしゃるかと思います。小児矯正をしているお子さまは、矯正治療に慣れるのが早い印象です。
矯正器具に慣れず、途中で小児矯正を中止してしまった方はこれまであまりいらっしゃらないので、ご安心ください。
小児矯正は、けがから歯を守ることにもつながります。
前歯が出ているような歯並びだと、予期せぬけがの際に歯がぶつかり、歯が欠けてしまったり、折れてしまったりするリスクがあります。特に、小さいお子さまはけがをする機会が多いため注意が必要です。大切な歯を守るためにも、早めの矯正治療がおすすめです。
健康的で整った歯並びは、見た目の印象を良くします。小児矯正を行うことで、自分の外見に自信が持てるようになります。
早くから歯並びを整えることで、周囲の印象も良くなるというメリットがあります。
小児矯正には、以下のようなデメリットがあります。
・抜歯が必要な場合がある
当院では、お子さまの口の発達状態などを診て、適切な時期に小児矯正を実施しています。
乳歯と永久歯が混在する時期(混合歯列期)に小児矯正を開始すると、必要に応じて乳歯を抜歯しなければならないことがあるため、注意深く治療をすすめていきます。
乳歯と永久歯が混在する時期、つまり混合歯列期から小児矯正を開始すると、時には残存する乳歯の抜歯が必要になる場合があります。小児矯正では、お子様の口の発達状況を注意深く確認し、治療を開始する適切な時期を見極める必要があります。
・ワイヤー矯正の場合、取り扱いに注意が必要
ワイヤーを用いた矯正の場合は、ワイヤーによって頬の内側の粘膜が傷つく可能性があります。指示された方法での使用と保管を心がけましょう。
また、ワイヤー矯正の場合、ワイヤーの装着場所によっては、ワイヤーによる見た目が気になってしまう方もいます。スポーツや楽器の演奏など、日常生活に制限が生じることもありますので、詳しくは担当医にご相談ください。
小児矯正は、親子で協力して治療に取り組むことが重要です。
小さなお子さまは、不慣れな矯正装置や、歯並びが整う過程で伴う痛みのせいで矯正を嫌がることがあります。親御さんはお子さまをサポートしながら、一緒に治療に取り組んであげましょう。

成長過程にあるお子さんは歯並びが原因で顔貌の変化と顎だけではなく身体の歪みが出たり、歯並びによって成長発育に影響を及ぼすこともあります。成長段階によってその治療方法が異なり、お口の状態に合わせて将来的に歯が並びやすいように導きます。お子さんの矯正治療は来院頻度が少なくて済むことが特徴にあります。
欧米では歯並びで印象が変わるだけでなく、その人の民度やレベルを量る基準として重要視されています。また、就職の基準でも歯並びを見られることもあるくらい、世界的には歯並びに対する意識や重要性がとても高いのです。
やはり歯並びがいいと第一印象が良くなりますし、日本でも近年この傾向があるので、お子さんの将来のためにもなるべくきれいな歯並びになるよう促してあげることは必要なことですね。

この年齢で反対咬合が心配なときには、就寝時に装着するマウスピースの歯列矯正用咬合誘導装置「ムーシールド」を使用します。反対咬合とは、受け口ともよばれる、下の歯が上の歯よりも前に出ている噛み合わせです。就寝時に装着して、舌やお口まわりの筋肉の状態を整えて、上下の顎を正しい位置に導きます。
反対咬合を普通の咬合に戻す装置ですので、ほかの不正咬合には効果を発揮しませんが、歯を抜いたり、痛みをともなったりしないうえ、舌や口のまわりの筋肉のトレーニングにより効果が出やすい矯正システムです。

当院では、バイオネーターという取り外し可能なマウスピース型の歯列矯正用
咬合誘導装置を使用しています。
この装置は、以下のような症例に効果を発揮します。
•上下の骨格のずれの改善
•萌出スペースの拡大
•悪しゅう癖の改善
一例として、受け口の治療においては歯だけの問題か、骨格的な問題か、また成長過程や年齢においても
治療方針は異なります。
バイオネーターは、通常6歳臼歯が生え始めた頃から治療を開始し、第2大臼歯が生え揃った頃までの使用が推奨されます。下顎の成長は上顎よりも遅れて始まり、全身の骨格成長とタイミングを合わせて効果を最大限に引き出します。装着は就寝時およびご自宅にいる時間を合わせて半日以上が推奨され、学校にいる間は装着の必要がありませんので、親御さんがご自宅にいる間で管理する事が可能です。また、この装置は、お口まわりの筋肉の力を利用して歯を動かすため、将来的に「あと戻り」が少ないのが特徴です。ただし、細部にわたる歯並びの微調整が必要な場合には、仕上げの矯正治療が必要となります。治療の詳細や疑問点については、当院にご相談ください。

プレオルソもマウスピースのような見た目をした矯正装置で、知らず知らずのうちに口が空いているお子様や口呼吸になっているお子様の習慣の改善に役立ちます。舌や顎の筋肉のトレーニングにもなるため、正常な発育のサポートをしてくれます。基本的には安静時や睡眠時に使用します。

乳歯にはあとから生えてくる永久歯を正しい位置に導くガイドの役割があります。そのため、虫歯やケガによって早期に乳歯を失ったときに使うのが保隙装置です。永久歯の生えるスペースを確保して、永久歯がまっすぐ生えるように導き、歯並びが乱れるのを防ぎます。

歯を舌側から固定する装置です。あとから生えてくる永久歯が正しい位置に並ぶように顎のスペースを確保するために装着します。

失った乳歯の空間を保つために歯にバンドを蒔いてループをつけるのが「バンドループ」で被せ物にループをつけるのが「クラウンループ」です。




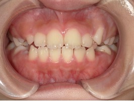
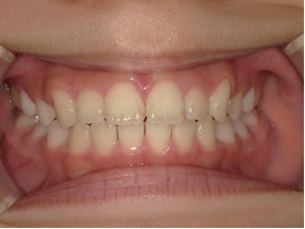
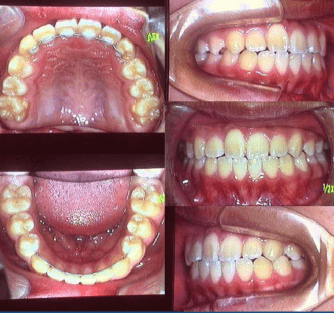
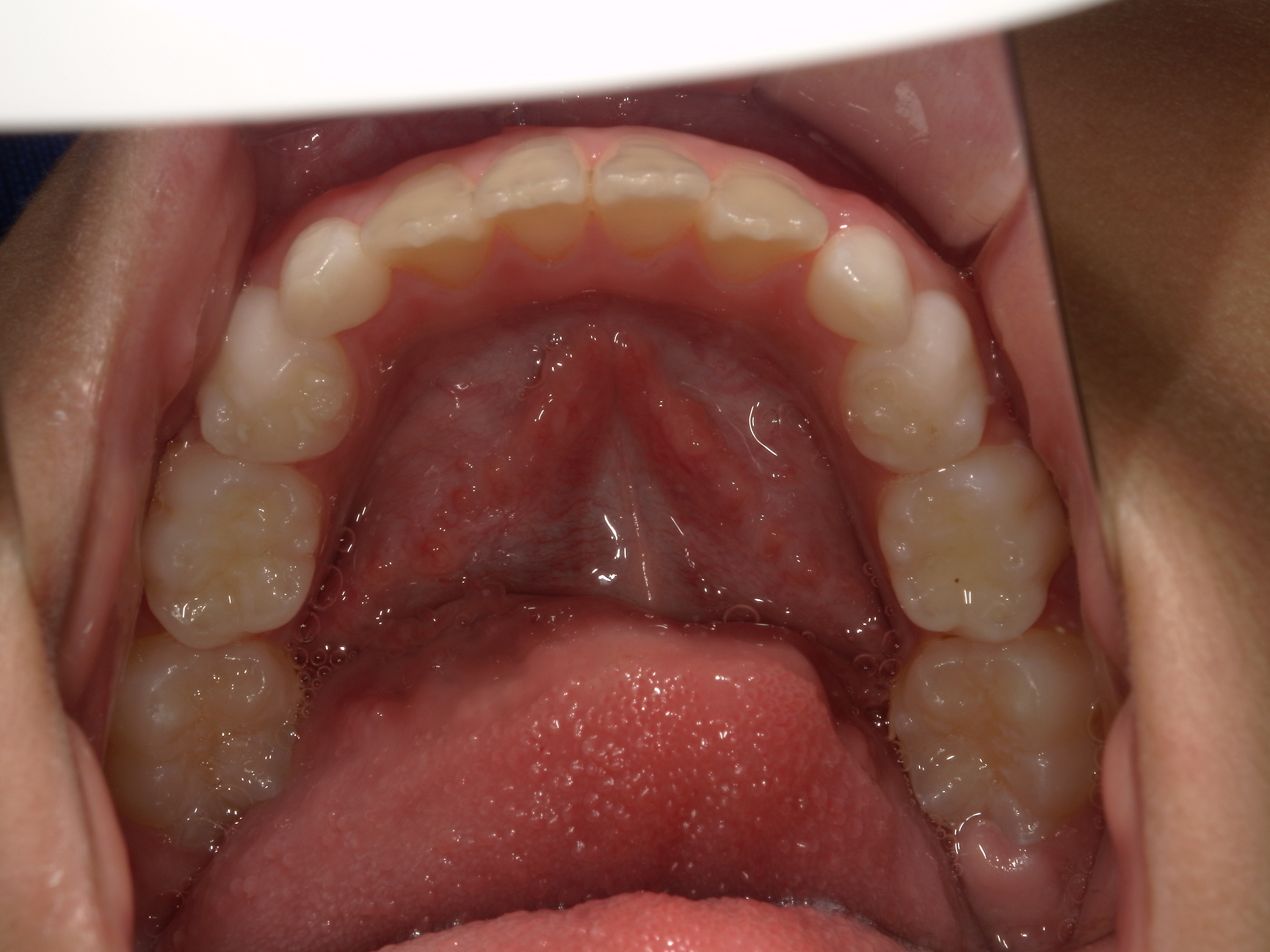
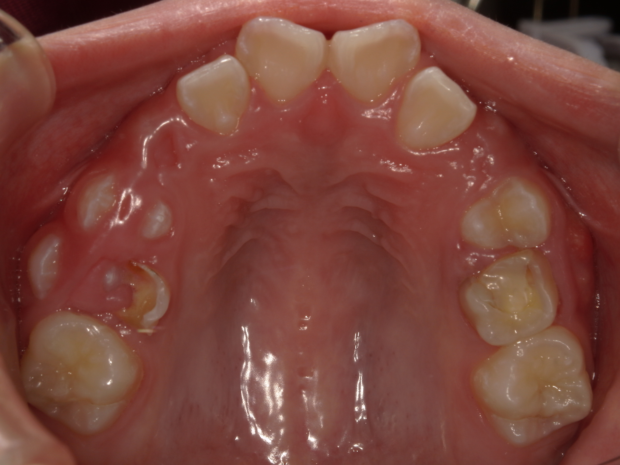
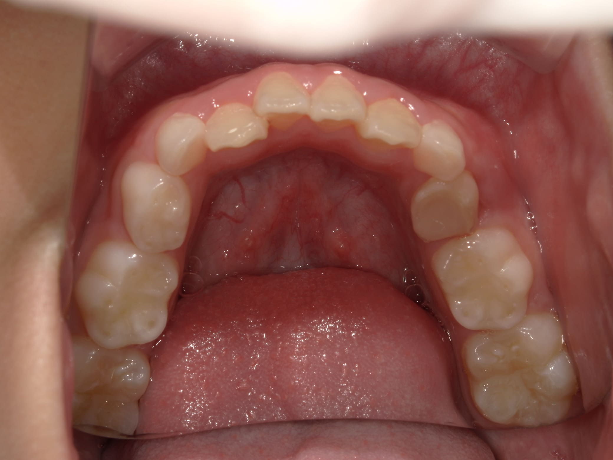
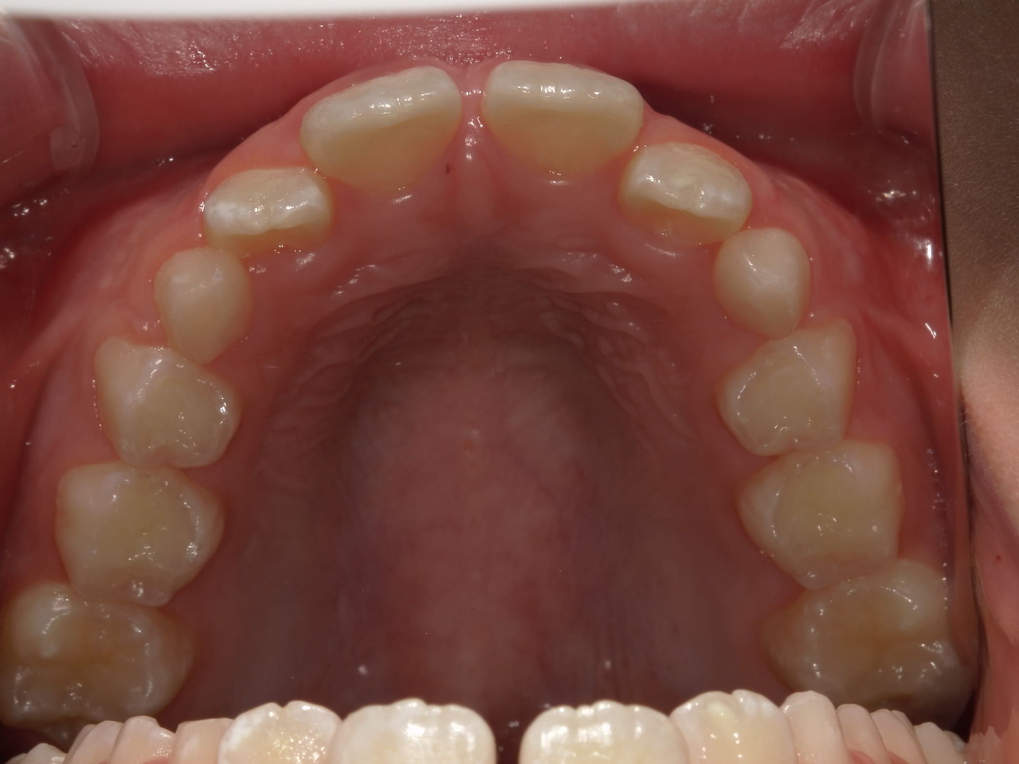
| 年齢・性別 | 男性 |
|---|---|
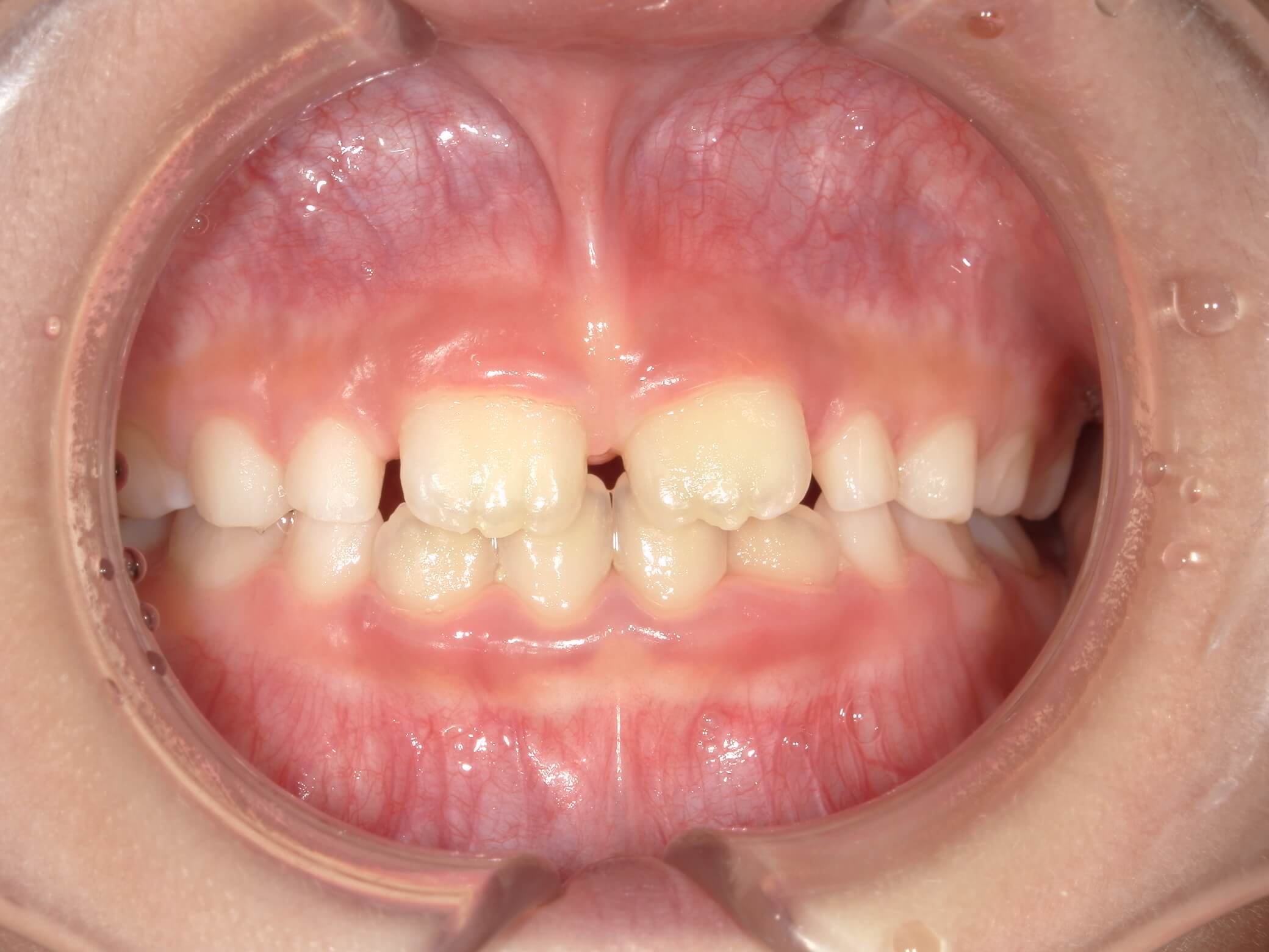
| 主訴 | 歯の隙間が気になる |
| 治療期間・回数 | 14ヶ月 |
| 費用 | 330,000円(税込) |






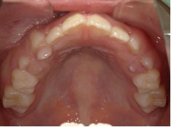
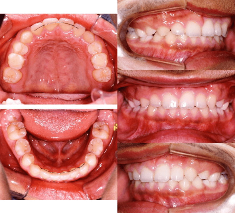
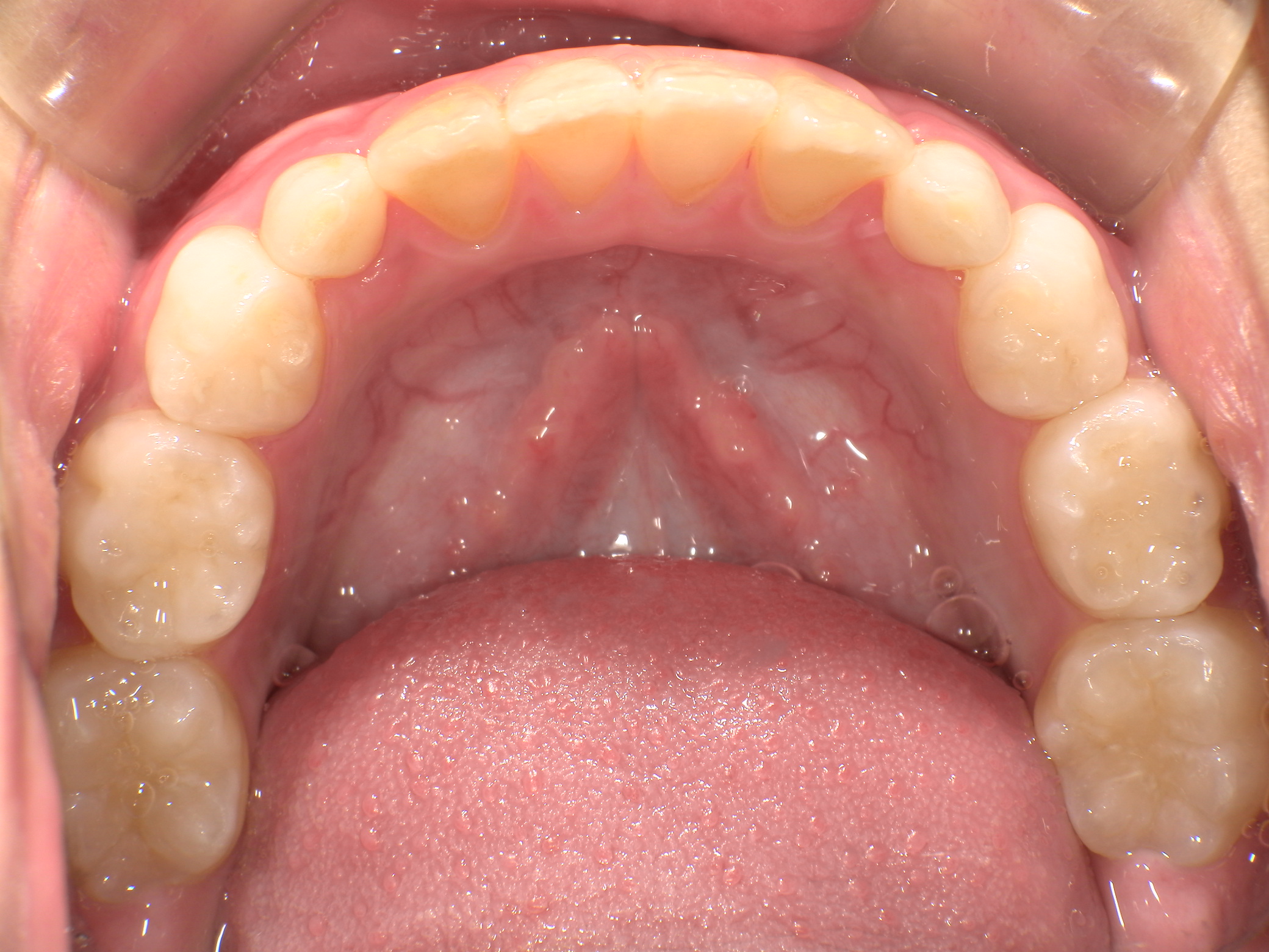
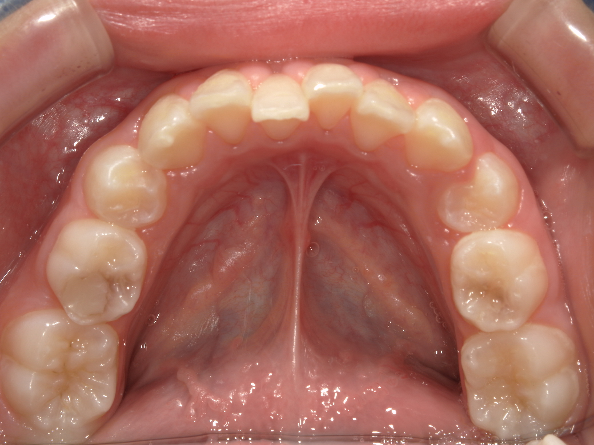
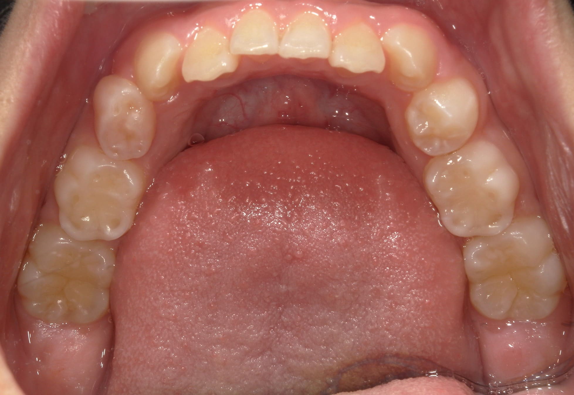
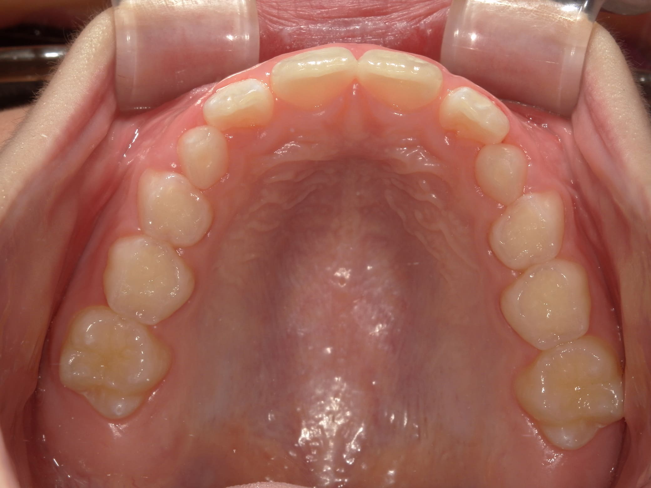
| 年齢・性別 | 女性 |
|---|---|
| 主訴 | 上の前歯が出ているのが気になる |
| 治療期間・回数 | 1年間 |
| 費用 | 330,000円(税込) |




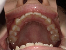
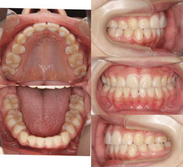
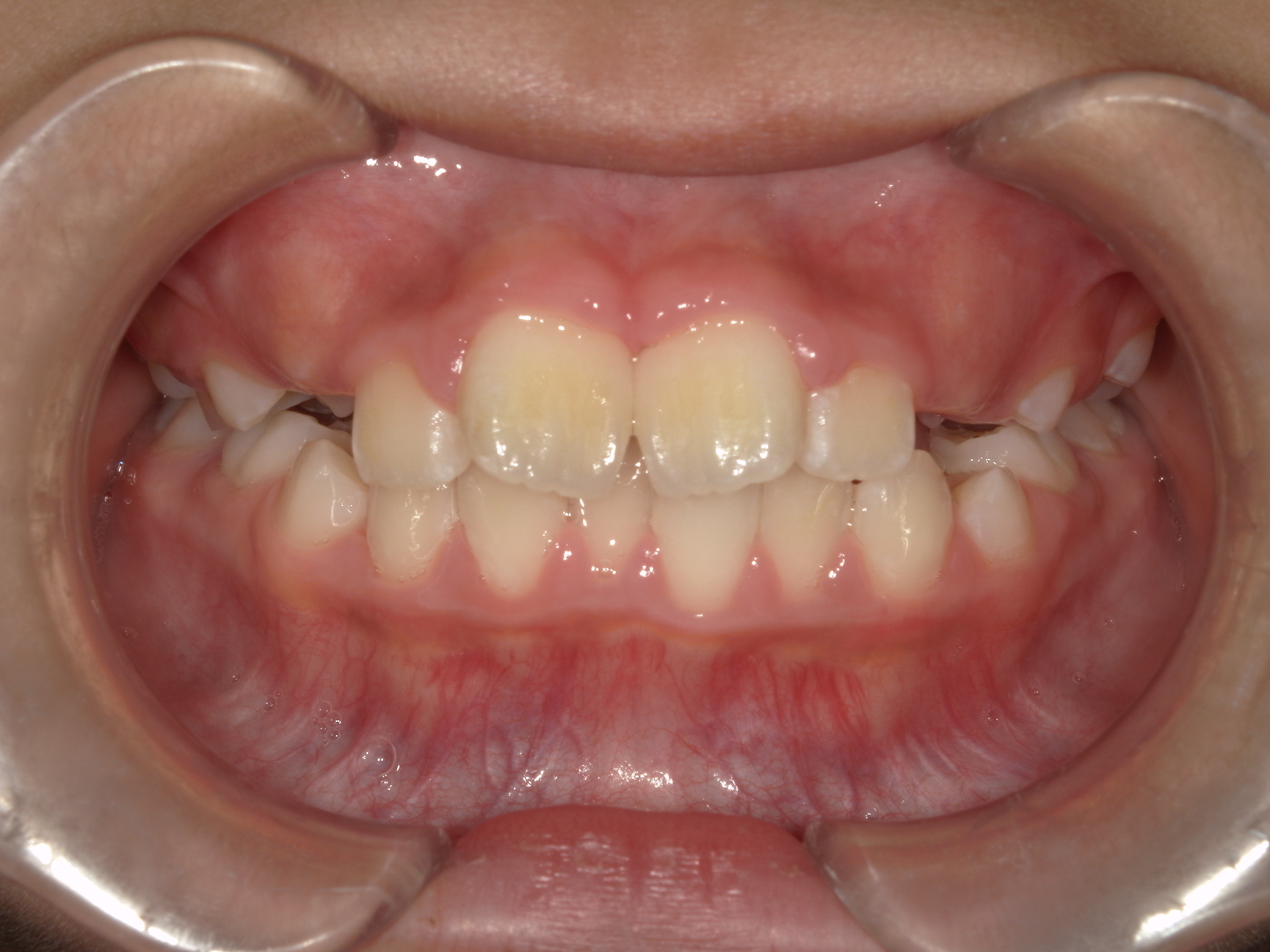
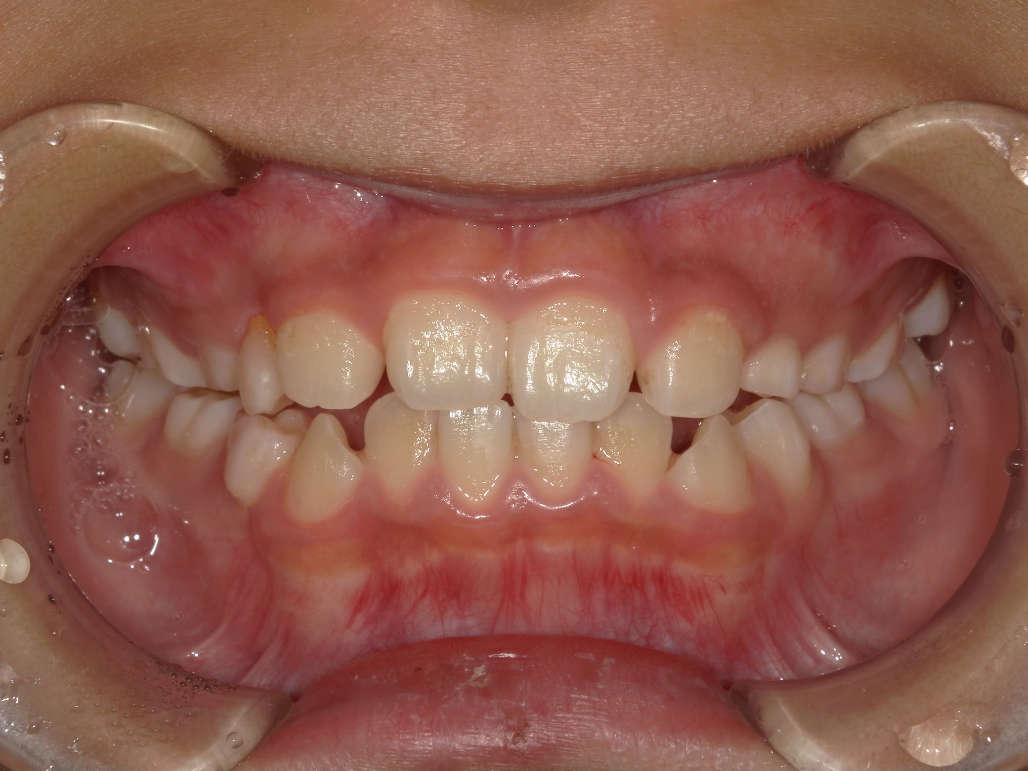
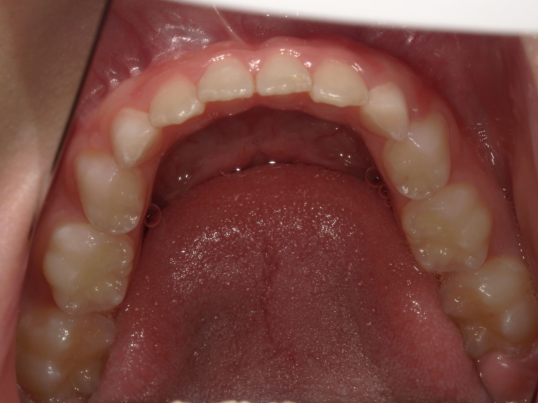
| 年齢・性別 | 男性 |
|---|---|
| 主訴 | 歯並びが気になる |
| 治療期間・回数 | 1年間 |
| 費用 | 330,000円(税込) |


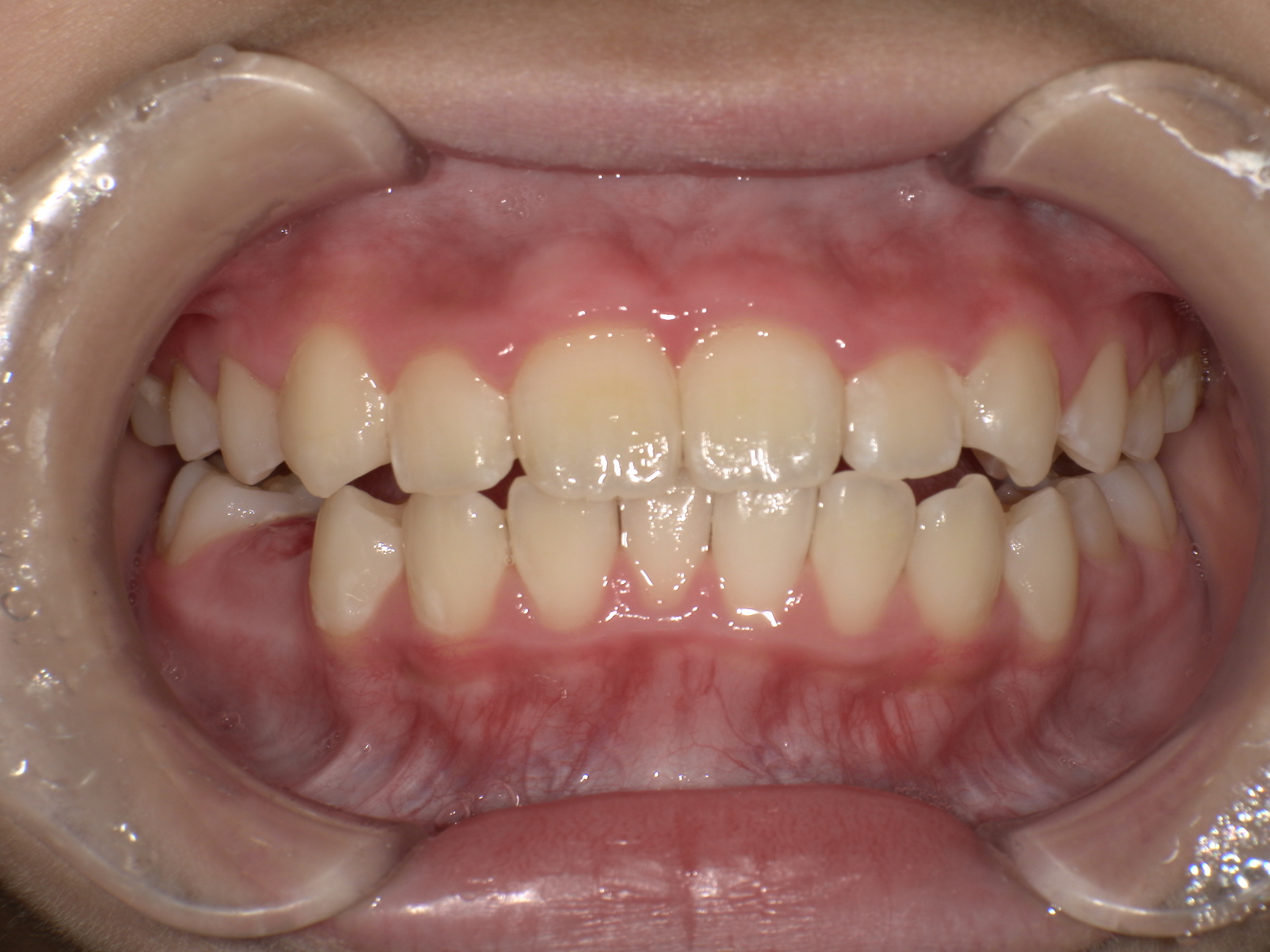
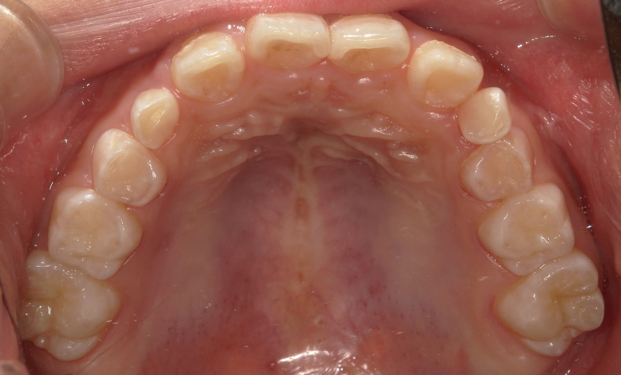
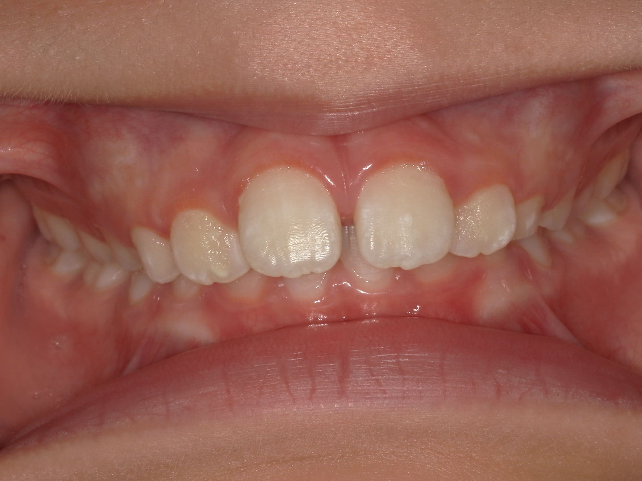
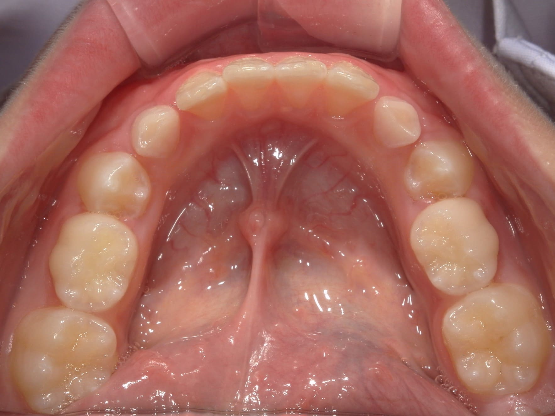
| 年齢・性別 | 男性 |
|---|---|
| 主訴 | 上の永久歯の前歯が1本だけ後ろに生えてしまった |
| 治療期間・回数 | 4ヶ月 |
| 費用 | 330,000円(税込) |


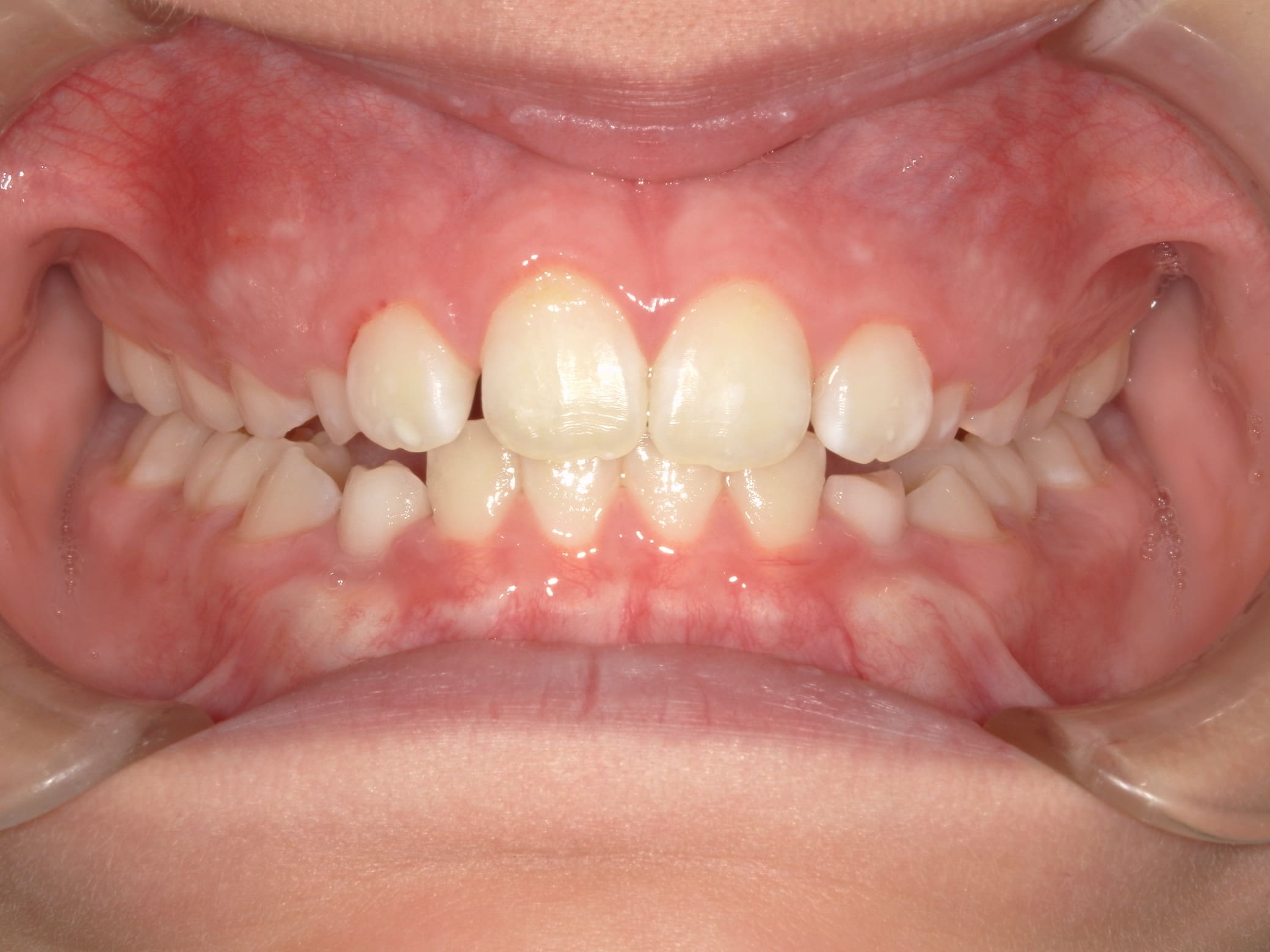
| 年齢・性別 | 男性 |
|---|---|
| 主訴 | 下の歯の永久歯が生えるスペースが不足している |
| 治療期間・回数 | 1年半 |
| 費用 | 330,000円(税込) |




| 年齢・性別 | – |
|---|---|
| 主訴 | 前歯がうまく噛み合わず、食事時に違和感があるとのことで来院されました。保護者様からは、将来的な歯並びの不安についてもご相談がありました |
| 治療期間・回数 | 1年3ヶ月・11回 |
| 費用 | 400,000円(税別) |




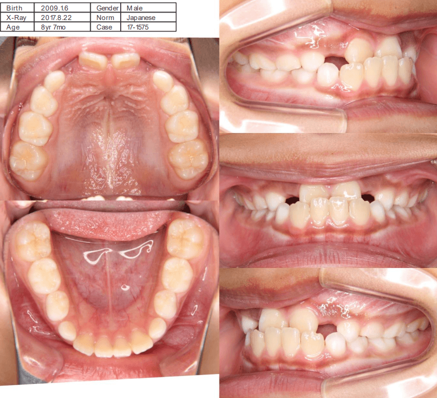
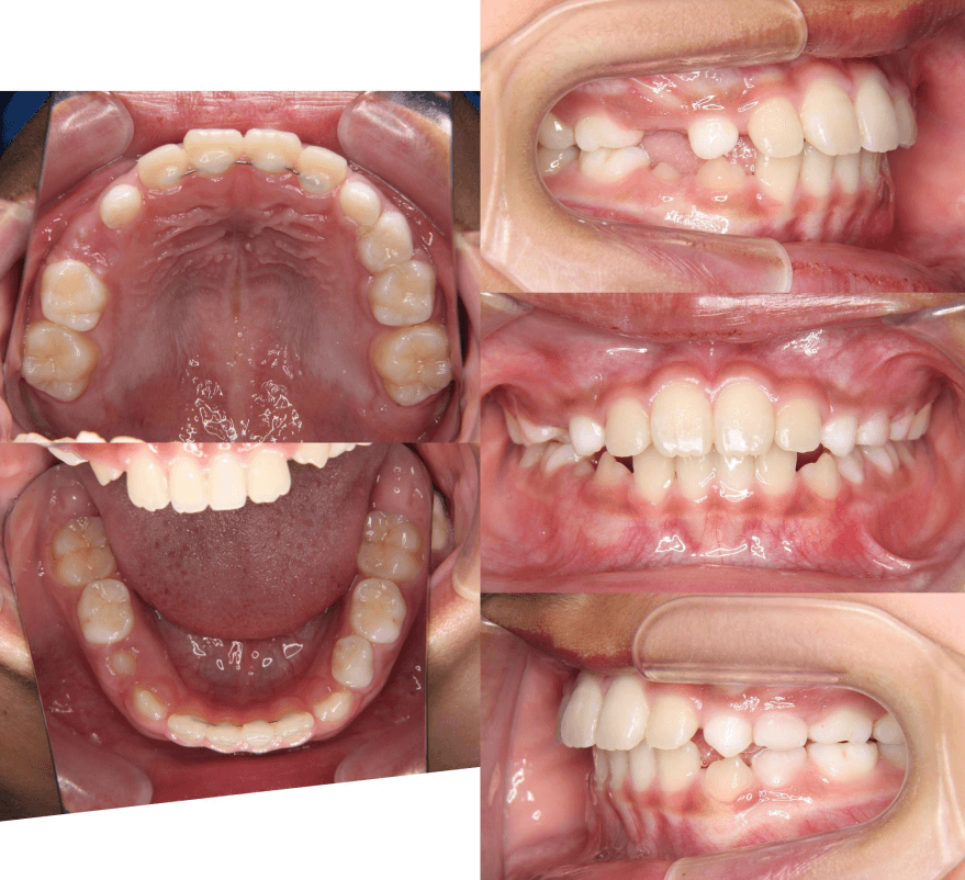
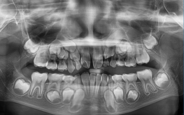
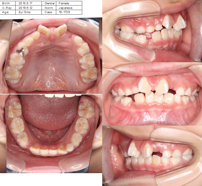
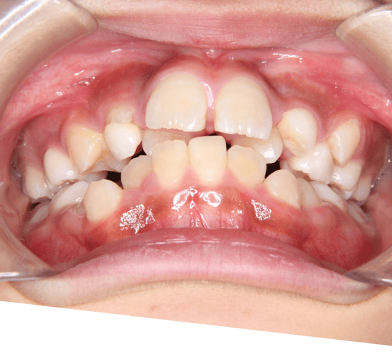
| 年齢・性別 | 7歳8ヶ月の男児 |
|---|---|
| 主訴 | 前歯の噛み合わせが逆で、見た目や食事に違和感があることを心配されて来院されました。 |
| 治療期間・回数 | 3年6ヶ月 |
| 費用 | 430,000円(税別) |




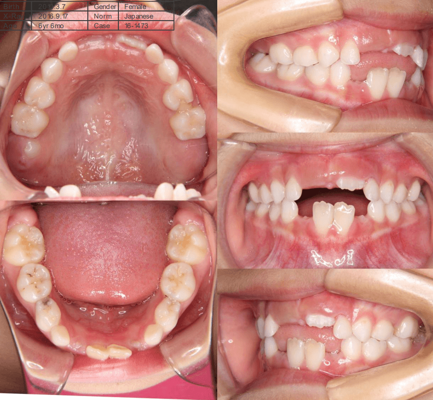
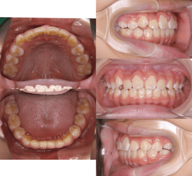
| 年齢・性別 | 6歳6ヶ月の女児 |
|---|---|
| 主訴 | 前歯がしっかり噛み合わず、食事時に違和感を覚えて来院された患者様です。 |
| 治療期間・回数 | 1年11ヶ月・18回3年6ヶ月 |
| 費用 | 400,000円(税別) |










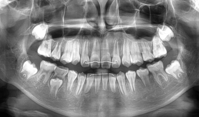
| 年齢・性別 | 8歳9ヶ月の男児 |
|---|---|
| 主訴 | 前歯の咬み合わせが逆になっており、歯根や歯肉への影響を懸念されて来院された患者様です。 |
| 治療期間・回数 | 3年7ヶ月・20回 |
| 費用 | 460,000円(税別) |










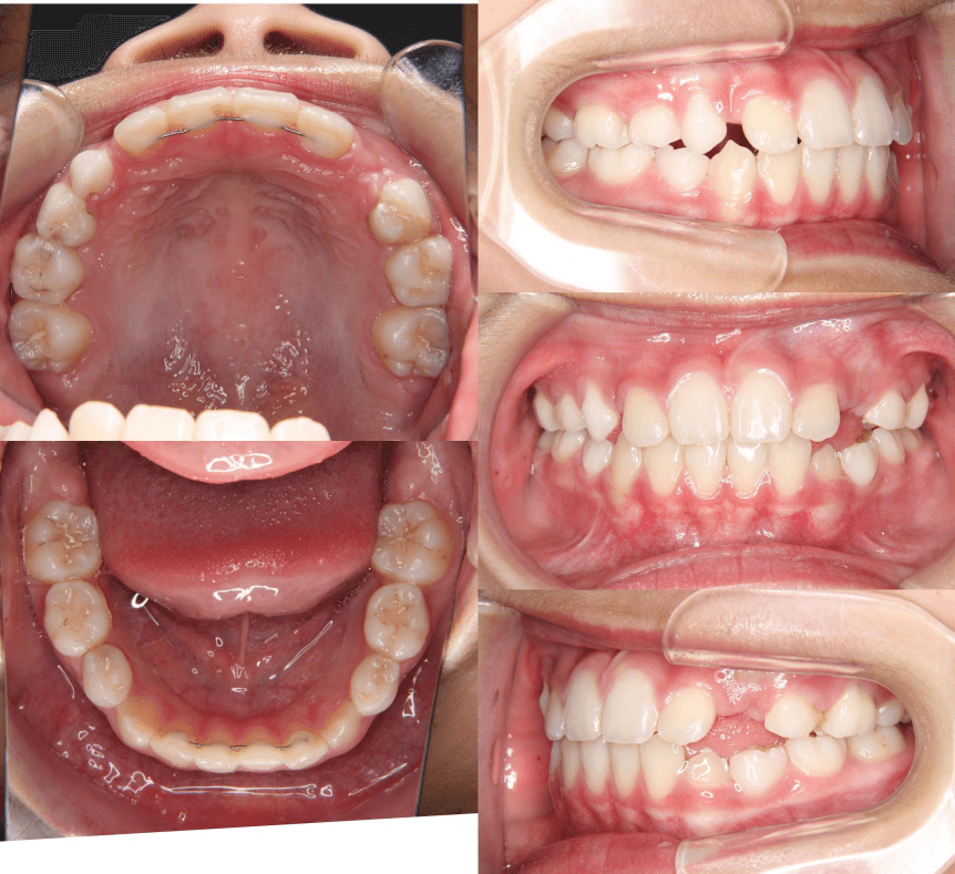
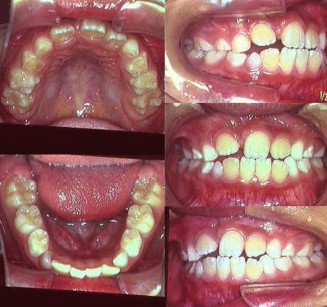
| 年齢・性別 | 7歳1ヶ月の男児 |
|---|---|
| 主訴 | 歯の生えるスペース不足が懸念され、歯列の乱れ(叢生)を整えるために来院された患者様です。 |
| 治療期間・回数 | 1年3ヶ月・11回 |
| 費用 | 420,000円(税別) |










| 年齢・性別 | 8歳9ヶ月の女児 |
|---|---|
| 主訴 | 歯並びの乱れを気にされて来院された患者様です。将来的なスペース不足と歯のねじれ(翼状捻転)が懸念されました。 |
| 治療期間・回数 | 2年10ヶ月・19回 |
| 費用 | 430,000円(税別) |






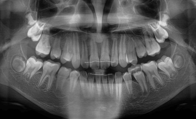
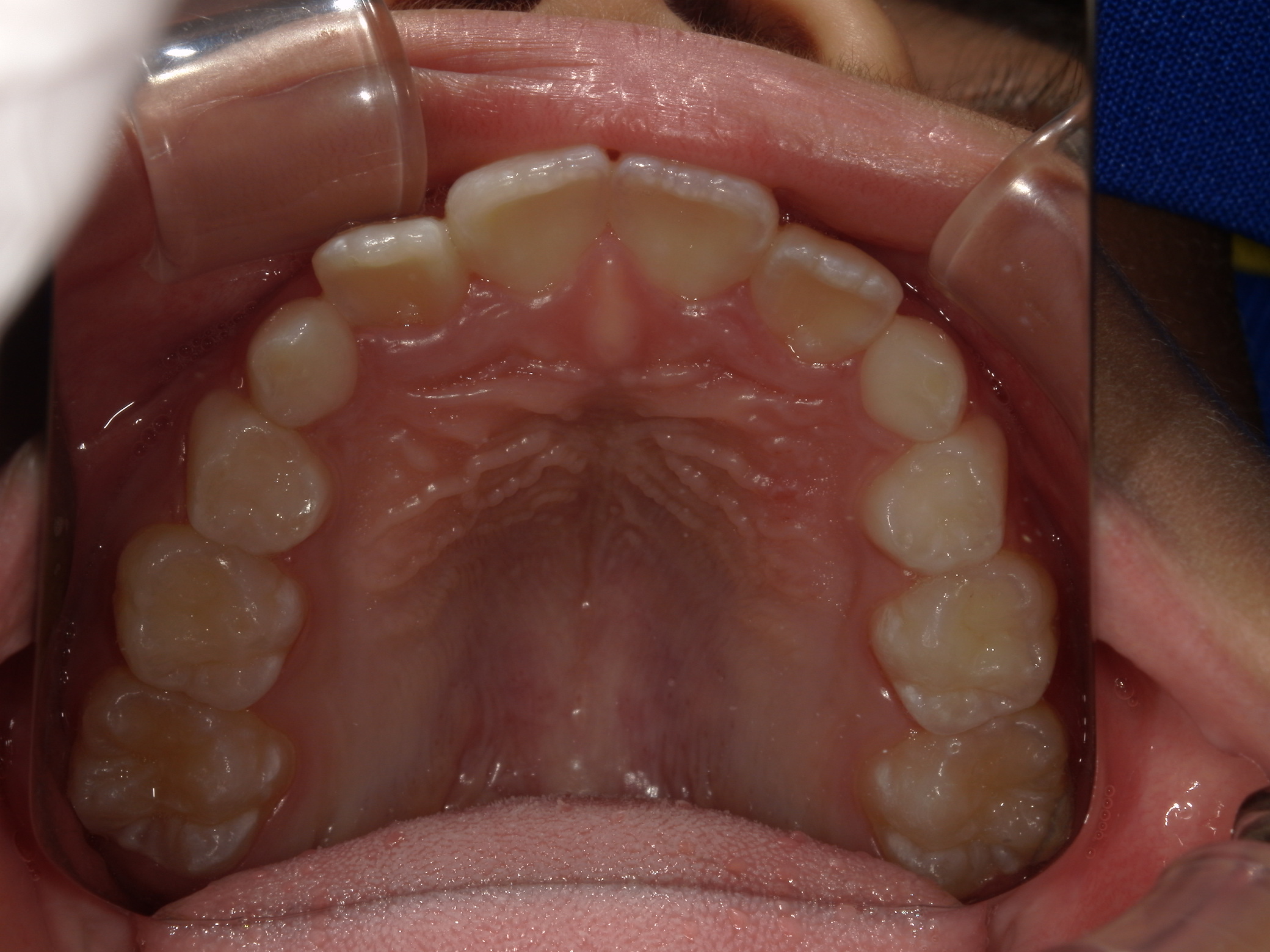
| 年齢・性別 | 8歳11ヶ月の男児 |
|---|---|
| 主訴 | 上顎の永久歯の位置がおかしいとのことで来院。萌出していない右上の前歯の状態に不安を抱えられていました。 |
| 治療期間・回数 | 約3年2ヶ月 |
| 費用 | 440,000円(税別) |












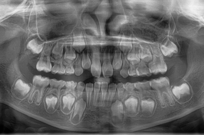
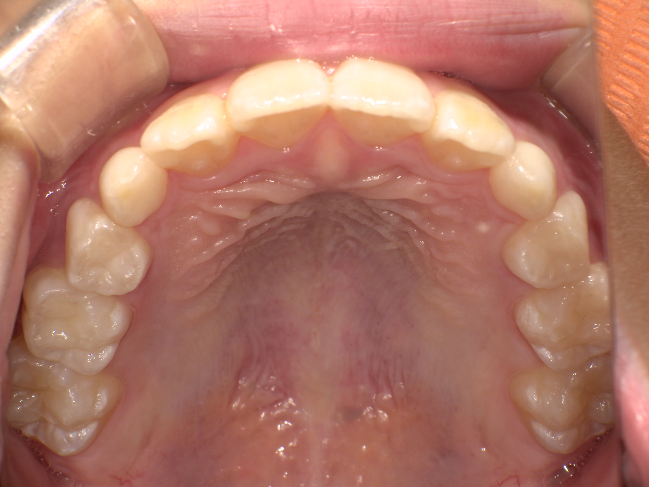
| 年齢・性別 | 8歳3ヶ月の男児 |
|---|---|
| 主訴 | 上顎前歯の位置異常に不安を抱え、歯並びと将来的な咬合状態を整える目的で来院された患者様です。 特に左側の前歯(中切歯および側切歯)の萌出が確認できないことがきっかけとなりました。 |
| 治療期間・回数 | 約5年10ヶ月 |
| 費用 | 460,000円(税別) |














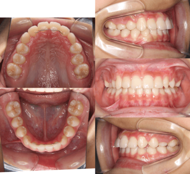
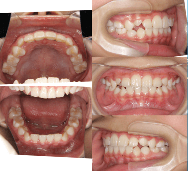
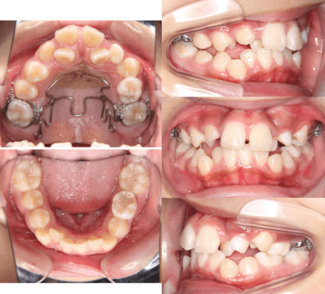
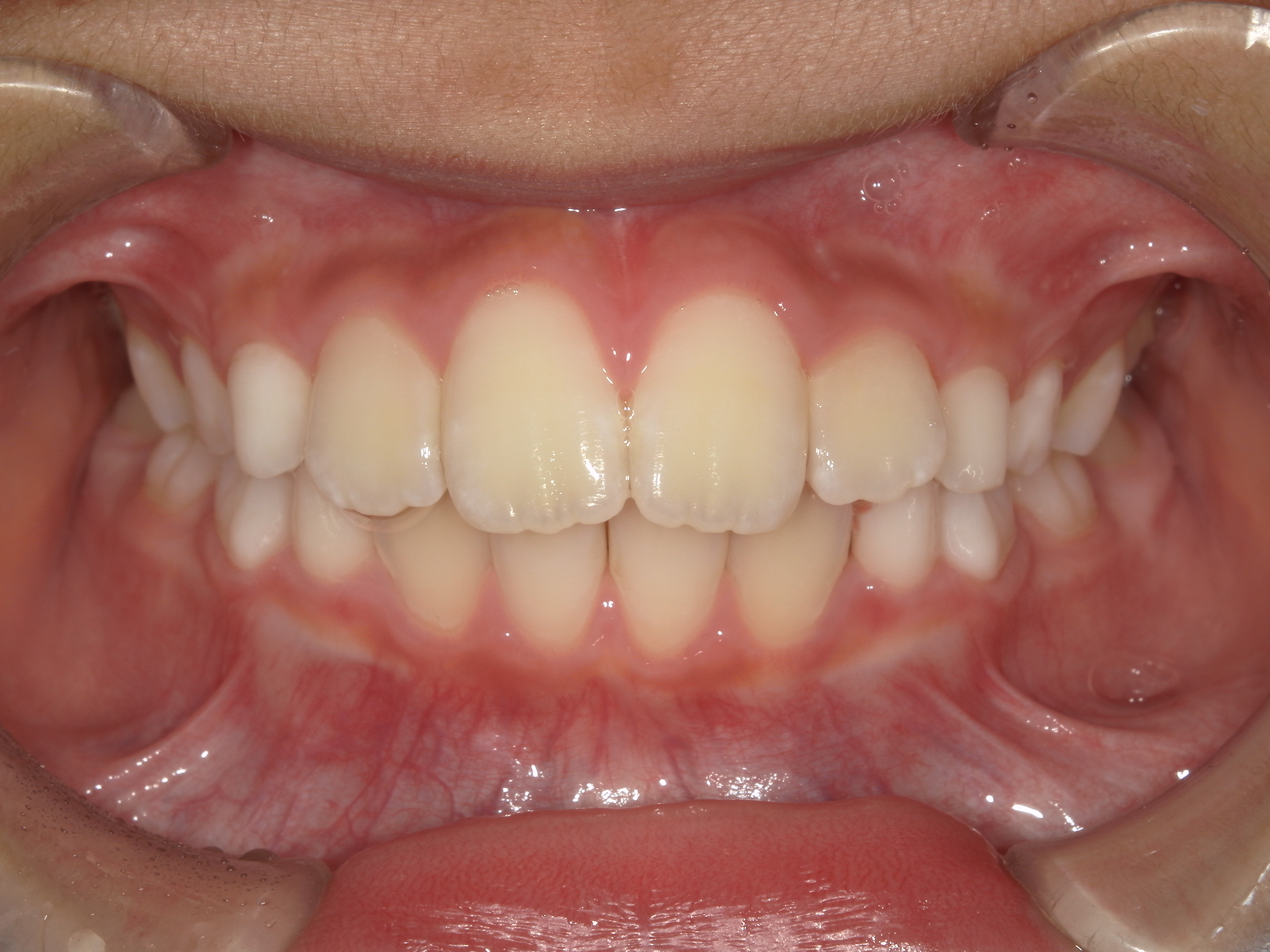
| 年齢・性別 | 11歳1ヶ月の女性 |
|---|---|
| 主訴 | 口元の突出感と歯並びが気になり、将来的な咬合状態を整える目的で来院された患者様です。 |
| 治療期間・回数 | 2年6ヶ月・25回 |
| 費用 | 720,000円 |








| 年齢・性別 | – |
|---|---|
| 主訴 | 出っ歯が気になる |
| 治療期間・回数 | 1年11ヶ月 |
| 費用 | 330,000円(税込) |








| 年齢・性別 | – |
|---|---|
| 主訴 | 上の前歯が気になる |
| 治療期間・回数 | 1年 |
| 費用 | 330,000円(税込) |








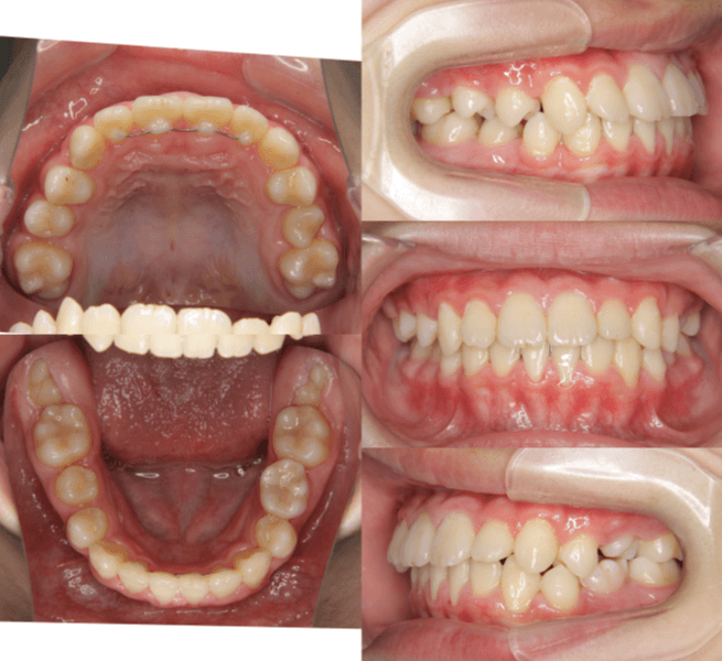
| 年齢・性別 | 11歳 |
|---|---|
| 主訴 | 出っ歯が気になる |
| 治療期間・回数 | 2年 |
| 費用 | 330,000円(税込) |








| 年齢・性別 | 11歳 |
|---|---|
| 主訴 | 出っ歯が気になる |
| 治療期間・回数 | 2年 |
| 費用 | 330,000円(税込) |
当院の小児矯正の流れをご説明します。
口腔内のクリーニング状態やむし歯の有無など、小児矯正前にお口全体の状態を確認し、小児矯正が開始できるかを判断します。必要に応じてレントゲン撮影を行うこともあります。
無料で小児矯正のカウンセリングを実施しておりますので、歯並びや歯科矯正に関するお悩みやご不安なことをお気軽にご相談ください。お一人おひとりに合った、治療方法をご提案させていただきます。
お子さまのお顔の写真撮影や歯型の採取など、より詳細な精密検査を実施します。それらをもとに、歯科矯正の治療方法や治療期間、費用について説明させていただきます。
インビザラインの場合は、3D治療計画の作成も行います。
治療計画の作成後、小児矯正の治療を開始します。
治療は、お子さまのお口や顎の発育状況を確認しながら進めさせていただきます。
来院頻度の目安は、おおむね1〜2ヶ月に1度です。
治療完了後は、整った歯並びが元の状態に戻ってしまうのを防ぐために、定期的なメンテナンスを実施します。来院頻度は3ヶ月に1度が目安となります。
永久歯が生えそろってからの治療(2期治療)が必要になる場合もありますので、詳細は担当医からご説明させていただきます。
小児矯正をご検討の方は、まずお電話やインターネットでご予約をおとりいただき、お気軽に当院までご相談ください。