診療
時間
月~金8:30~12:30/14:00~19:00
土8:30~12:30/14:00~17:00
第1.第3日曜矯正あり
休診日
日曜・祝日
駐車場
15台完備
TEL:04-7145-3375 WEB予約休診日
日曜・祝日
駐車場
15台完備
診療時間
月~金8:30~12:30/14:00~19:00
土8:30~12:30/14:00~17:00
第1.第3日曜矯正あり

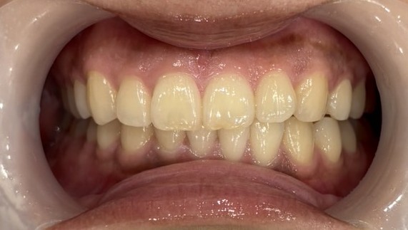
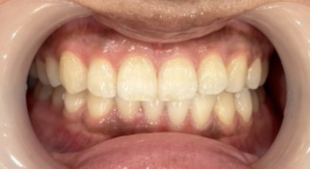
千葉県柏市向原町の歯医者「柏 なかよし歯科・口腔外科」のホワイトニングについてご案内いたします。
ホワイトニングとは、専用の薬剤と光を反応させることで、歯の黄ばみを分解・除去する施術のことです。歯の表面を削ることなく、自然で美しい白さを目指すことができます。施術回数を重ねることで、本来よりさらに白い歯にすることも可能です。
白く美しい歯は清潔感があり、見る人に良い印象を与えることができます。歯科先進国の欧米では「白く輝く歯」が一種のステイタスであり、美容院に行く感覚でホワイトニングを受ける人も多くいます。
歯のクリーニングだけでは満足できない方、見た目の印象をアップさせたい方は、ぜひ当院までご相談ください。


| 年齢・性別 | – |
|---|---|
| 主訴 | ホワイトニングに興味があった、全体的に黄ばみがきになっていた為 |
| 治療期間・回数 | 1回 |
| 費用 | 初回お試しホワイトニング20本 LINE価格 7,700円(税込み) |


| 年齢・性別 | – |
|---|---|
| 主訴 | 全体的に黄ばみがきになっていた為 |
| 治療期間・回数 | 1カ月・2回 |
| 費用 | 初回お試しホワイトニング20LINE価格 7,700円(税込) ホワイトニング20 10,450円(税込) |


| 年齢・性別 | – |
|---|---|
| 主訴 | 歯の黄ばみ |
| 治療期間・回数 | 3か月 |
| 費用 | 132,000円(税込) |


| 年齢・性別 | – |
|---|---|
| 主訴 | 歯の黄ばみ |
| 治療期間 | 4回 |
| 費用 | 初回 お試しホワイトニング20 LINE価格 7,700円(税込) まとめて3回コース(トリートメント付き) 33,000円(税込) |


| 年齢・性別 | – |
|---|---|
| 主訴 | 歯の黄ばみ |
| 治療期間・回数 | 1か月・6回(週に1回程度) |
| 費用 | 初回お試しホワイトニング20リッチ+Home LINE価格 12,100円(税込) 学割ホワイトニング16本 7,700円(税込み)×6回 46,200円(税込) ポリリントリートメント20本 220円×2回 8,800円税込み(税込) |


| 年齢・性別 | – |
|---|---|
| 主訴 | 歯の黄ばみ |
| 治療期間・回数 | 4回 |
| 費用 | 初回 お試しホワイトニング20 LINE価格 7,700円(税込) まとめて3回コース(トリートメント付き) 33,000円(税込) |


| 年齢・性別 | – |
|---|---|
| 主訴 | 歯の黄ばみ |
| 治療期間・回数 | 1回 |
| 費用 | 初回 お試しホワイトニング20 LINE価格 7,700円(税込) |


| 年齢・性別 | – |
|---|---|
| 主訴 | 全体的に黄ばみがきになっていた為 |
| 治療期間 | 1回 |
| 費用 | 初回お試しホワイトニング20 8,800円(税込) |


| 年齢・性別 | – |
|---|---|
| 主訴 | 歯の黄ばみ |
| 治療期間・回数 | 3カ月 |
| 費用 | トリートメント付きコース20本×8回 86,680円(税込) |


| 年齢・性別 | – |
|---|---|
| 主訴 | 歯の黄ばみ |
| 治療期間・回数 | – |
| 治療費用 | 初回 お試しホワイトニング20 8,800円(税込) |


| 年齢・性別 | – |
|---|---|
| 主訴 | 歯の黄ばみ |
| 治療期間・回数 | 2カ月 |
| 費用 |
初回 お試しホワイトニング20 8,800円(税込) まとめてコース(3回) 33,300円(税込) |


| 年齢・性別 | – |
|---|---|
| 主訴 | 歯の黄ばみ |
| 治療期間・回数 | 1カ月 |
| 費用 | まとめてコース(3回) 33,300円(税込) |


| 年齢・性別 | – |
|---|---|
| 主訴 | 歯の黄ばみ |
| 治療期間・回数 | – |
| 費用 | 8,800円(税込) |


| 年齢・性別 | – |
|---|---|
| 主訴 | 歯の黄ばみ |
| 治療期間・回数 | – |
| 費用 | 8,800円(税込) |
以下の項目に当てはまる患者さまは、ホワイトニングをおすすめしています。
・コーヒーやカレーなどをよくお召し上がりになる方
・タバコをお吸いになる方
・歯の着色、黄ばみが気になる方
・接客業をされている方
・人前に立つ特別なご予定(面接、結婚式など)がある方
・白い歯でより見た目の印象を良くしたい方

歯の色に対する印象を調べたアンケートによると、8割超の人が「他人の歯の色が気になる」と回答しています。また、「他人の歯の色で印象が変わったことはありますか?」という質問に対しては、「歯が白くて素敵だなと思ったことがある」という回答が約半数を占め、「歯が黄ばんでいてもったいないと思ったことがある」「歯が黄ばんでいてだらしないと思ったことがある」という回答も目立ちました。
こうした結果から、多くの人は「白い歯」に好印象を持ち、反対に「黄ばんだ歯」には残念な印象を持つことがわかります。最近はマスク生活がスタンダードになっているとはいえ、食事や会話の際、ふとしたときに見える歯が白く輝いていたら、相手に好印象を持ちますよね。髪型や服装と同じように、身だしなみのひとつとして歯の色にも気を配ってみてはいかがでしょうか?
【参照元】歯科タウン

歯科医院にて行う、プロ仕様のホワイトニングです。高濃度の薬剤を使用するため、短期間で白く輝く歯を目指せます。結婚式や面接、レジャーのご予定など、ある程度の期限内に歯を白くしたい方におすすめです。
オフィスホワイトニングのメリットをご紹介します。
・一度の施術で効果が期待できる
ホワイトニングの回数が多いほど、より白い歯になりますが、一度の施術でも歯は白くなります。施術したその日のうちに効果を実感していただけるのが、当院のホワイトニングのメリットです。
・来院するだけのお手軽さ
ご自宅でご自身で行っていただくホームホワイトニングと異なり、来院するだけで歯が白くなるという手軽さがあります。歯科専用の薬剤を用い、設備の整った歯科医院で歯科衛生士がホワイトニングを実施するため、安心して施術を受けていただくことができます。
歯に関するお悩みなどもお気軽にご相談いただけます。
オフィスホワイトニングには以下のようなデメリットが考えられます。
・オフィスホワイトニングのみだと元の歯の色に戻りやすい
オフィスホワイトニング単独ですと歯の色戻りがしやすいというデメリットがあります。この点においては、ホームホワイトニングや、オフィスホワイトニングとホームホワイトニングを一緒に行うデュアルホワイトニングのほうが歯の色戻りは少なくなります。
・歯がしみる方もいる
当院のホワイトニングは「しみない施術」を目指しておりますが、歯科専用の濃度の高いホワイトニング薬剤を使用しているため、患者さまによっては歯がしみると感じる方もいます。患者さまの状態や状況に合わせ、適切な施術を実施いたします。

薬剤を注入したマウスピースを装着し、ご自宅で気軽に行っていただけるホワイトニングです。1日数時間程度ご使用いただくことで、約2週間で歯が白くなっていきます。オフィスホワイトニングと比べマイルドな薬剤を使用します。
ホームホワイトニングのメリットをご紹介します。
・好きなタイミングで時間を気にせずにできる
ホームホワイトニングは、専用のマウスピース内に薬剤を入れ、歯に装着します。
ご自宅でご自身でホワイトニングを実施していただくため、時間を気にせずお好きなタイミングでホワイトニングができます。
・オフィスホワイトニングよりも効果が長続きする
ホームホワイトニングでは、徐々に歯の内側の層からホワイトニングしていくため、オフィスホワイトニング単独よりも歯の白さが長続きし、歯の色戻りも少なくなります。
歯の内側の層から徐々にホワイトニング薬剤が浸透することで歯を白くしていくため、一度の来院で効果を実感できるオフィスホワイトニングと比較し、すぐに効果を感じることは難しいかもしれません。ホームホワイトニングでは、ご自宅でのホワイトニングを毎日行うことで、確かな効果が実感できます。
当院でのポリリンホワイトニング治療は、1回の施術で9,500円(税抜)(初回に限り、おためしホワイトニングは8,000円(税抜)からご提供しております。より確実な効果を得るため、2~3回のコース治療がおすすめです。コース料金は3回で30,000円(税抜)と、単回より経済的な料金設定となっています。治療期間は個人差がありますが、通常2~3週間程度で目に見える効果を実感していただけます。
施術は1回約60分(※カウンセリング含む)で完了し、次回の施術まで間隔を開けずに施術することが可能なため、短期間での集中的な治療が可能です。患者様のご希望の白さや歯の状態に応じて、最適な治療回数をご提案させていただきます。
ホワイトニングは安全性の高い処置ですが、以下の条件に当てはまる方には施術をほどこすことができません。
初回カウンセリングはご予約制です。事前にご予約のうえお約束の日時にご来院ください。カウンセリングではお口の状態を確認し、ホワイトニングについてのご質問にお答えします。気になることは何でもおたずねください。また白さの目標も確認します。
ホワイトニング施術にご同意いただきましたら、施術前後を比較するために、専用の色見本を使って現在の歯の色を確認します。スタッフとともにご確認ください。記録も残すので後で比較することができます。
歯に付着する汚れを落とします。またホワイトニング剤が付着しないように唇を保護するクリームを塗布します。
お口を開く器具(アングルワイダー)を装着します。そして歯ぐきには保護剤を塗布します。
歯面にホワイトニングジェルを塗布します。そして専用のライトを照射し、ホワイトニング効果を促進させます。
施術が終わりましたら、薬剤を除去します。そして事前に記録した歯の色と施術後の歯の色を一緒に確認します。
ポリリンホワイトニングは歯へのダメージが少ない治療法ですが、効果を長く保つためには適切なケアが重要です。治療直後から通常の飲食が可能ですが、以下のポイントに注意することをおすすめします:
また、自宅でのホワイトニングジェルの使用もご検討いただけます。当院では、お客様に合わせたホームケア製品もご案内しております。